تمامی سوالات مطرح شده همراه با پاسخ
سلام،
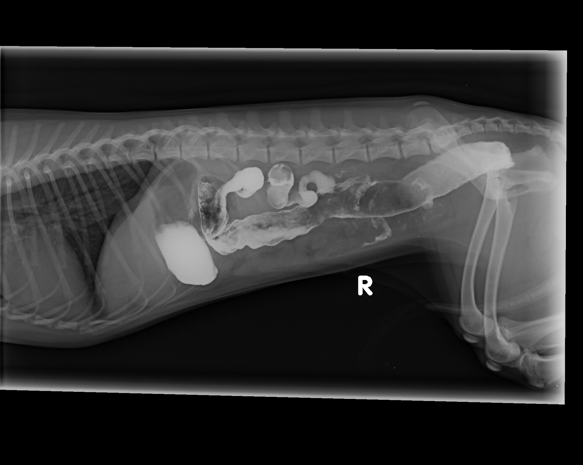
من نوشين هستم و از ملبورن مزاحمتون ميشم. من يه cavalier king charles شش ماهه دارم. سوفي از يك شنبه حالش خيلي خوب نيست و من پيش دو تاvet بردمش اما دلم ميخواد نظر يه vet ايراني رو هم بدونم، اگر بتونيد منو راهنمايي كنيد من بينهايت ازتون ممنون و سپاسگزار ميشم.
سوفي از روز يكشنبه حالش خوب نبود خيلي بيحال بود كه البته هوا هم خيلي گرم بود و يكشنبه عصر استفراغ كرد و اسهال هم داشت، شبش اصلا خوب نخوابيد و مرتب حالت بالا آوردن داشت اما خب چيزي نبود كه بالا بياره.
ديروز من بردمش دكتر و اونا نظرشون اين بود كه ممكنه چيزي قورت داده باشه و توي شكمش گير كرده باشه. سوفي xray شد و گفتند مقدار زيادي گاز توي شكمش هست، بهش berim contrast دادن و يكساعت بعد دوباره xray گرفتن و فقط مقدار كمي از كانترست خارج شده بود كه ميگفتن طبيعي نيست بايد خارج ميشده، صبح باز هم xray شد و بيشتر كانترست خارج شده بود ولي ميگفتن چون هنوز كمي اش مونده ممكنه چيزي باشه و بايد عمل بشه، اما من هنوز متقاعد نشدم، آيا واقعا اگه چيزي بود نبايد توي سه بار عكس گرفتن اونم بعد كانترست نباد نشون بده؟ سوفي بينهايت آب بدنش كم شده و واقعا نياز به سرم داره، ديگه بالا نياورده اما تا ديشب اسهال داشت. اونا بيست و چهار ساعت براي عكس نگهش داشتن تازه امروز گفتن بايد بيست و چهار ساعت ديگه بمونه براي سرم، اينجوري من فقط شارژ ميشم بدون اينكه مطمئن باشم قضيه چيه و اين كوچولوي زبون بسته هم هنوز حالش خوب نيست، من جواب ها رو براتون ايميل ميكنم، اگه نظرتون رو بگيد واقعا مديونتون ميشم.
با احترام
نوشين( این سوال 11 سال قبل مطرح شد و 11 سال قبل به این سوال پاسخ داده شده است. )
با سلام و خسته نباشيد
چند هفته اي است گربه من دمش بالاست و مرتبا خودشو به جاهاي لبه دار ميكشه و اينكه دراز ميكشه پاهاي عقبشو باز ميكنه انگار كه ميخواد چيزي از بدنش خارج بشه مرتبا هم سر وصدا ميكنه و صداي خيلي بلندي از خودش درمياره ممنون ميشم راهنماييم كنيد
با تشكر
( این سوال 11 سال قبل مطرح شد و 11 سال قبل به این سوال پاسخ داده شده است. )
( این سوال 11 سال قبل مطرح شد و 11 سال قبل به این سوال پاسخ داده شده است. )
با سلام من يه گربه پرشين ٢.٥ دارم چند روزه وقتي مدفوعش همراه با يه كم خون هستش چه كار بايد انجام بدم لطفاً كمكم كنيد
( این سوال 11 سال قبل مطرح شد و 11 سال قبل به این سوال پاسخ داده شده است. )
( این سوال 11 سال قبل مطرح شد و 11 سال قبل به این سوال پاسخ داده شده است. )
سلام
پوست گربه من دچار مشکل مزمنی شده که عکسش را ضمیمه میکنم. موها در بعضی نواحی کم پشت میشه، خارش خفیفی داره، دانه های سیاه رنگ دیده میشه.
ابتدا در کشاله ران دیدم، با این گمان که قارچ هست درمان ضد قارچ انجام دادم. (کرم کتوکونازول+ هفته ای یک بار حمام) کشاله ران خوب شد و یک ناحیه در زیر شکم دچار همین مشکل شد. بعد از مدتی این ناحیه هم خوب شد و زیر چانه باز همین مشکل و حالا به پشت گوش ها هم سرایت کرده.
نظر شما را هم میخواستم بدونم.
نمونه برداری انجام شده و قارچ تشخیص داده شده. به نظر شما میتونه قارچ نباشه و جرب باشه؟( این سوال 11 سال قبل مطرح شد و 11 سال قبل به این سوال پاسخ داده شده است. )
با سلام و سپاس فراوان از اين همه اطلاعات مفيد. چيكو من شيتزو ترير ٨ ماهه كه يه بار فحل شده و قراره تا چند روز اينده عقيمش كنم. ( البته دوره خونريزي اوليه اش دقيقا ١٦ روز بوده و خونريزي داشته)!!! واكسنهاشو زده و قرص انگل و چكاپ انجام ميده. اما الان حدود ٣-٤ هفته هست كه ريزش موش شديد شده طوري كه از ريشه جدا ميشه انگاري سست باشه! ولي در ظاهر مشكلي نداره و همينطور در قسمتهايي از بدنش خصوصا سر و روي ستون اصلي بدنش جوشهايي قرمز با برامدگي زرد رنگ ديده ميشه كه گاهي نه خيلي زياد با گاز گاز ميخارونه اونهارو، تجويز دامپزشك محترم ويتامين اد و تريامسينولون بوده! كه جوابي نگرفتم و همچنان ريزش داره و حتي به صورت سكه اي موهاي روي دماغش هم ريخته! همسرم چون پزشكند يه دوره انتي بيوتيك هم گفت و مصرف كرد، و همينطور قطره براي درمان موضعي قارچ پوستي اما هيچي جواب نداد!!! خيلي خيلي نگرانم و چون ساكن شهرستانم، دامپزشكان محترم هم همكاري خوبي ندارند بسيار ممنون ميشم جوابم رو بديد شايد بفهمم مشكل بچه ام چيه!!!
چيكو اصلن غذاي خشك نميخوره باز هيچ برندي! فقط غذاي خونگي( روزانه ١ فنجان بوقلمون، نصف فنجان برنج، يك هويج بدون هيچ ادويه اي، همراه ماست) همينطور مكمل caniderm هم براش گرفتيم اما هيچ!!!! ببخشيد كه طولاني بود و وقتتون گرفته شد، پيشاپيش سپاسگزارم.( این سوال 11 سال قبل مطرح شد و 11 سال قبل به این سوال پاسخ داده شده است. )
کیست انگل کی خوب میشود
( این سوال 11 سال قبل مطرح شد و 11 سال قبل به این سوال پاسخ داده شده است. )
( این سوال 11 سال قبل مطرح شد و 11 سال قبل به این سوال پاسخ داده شده است. )
سلام حن یه توله سگ از نژاد تریردارم که ۳ماهه است او صورتش رو بعضی مواقع به فرش میماله ودست وپاشو گاز میزنه و از دیشب اسهال شده ودوبار این اتفاق افتاده خیلی دلواپسم کمکم کنید
( این سوال 11 سال قبل مطرح شد و 11 سال قبل به این سوال پاسخ داده شده است. )
( این سوال 11 سال قبل مطرح شد و 11 سال قبل به این سوال پاسخ داده شده است. )
با سلام. مرغ مینای من حدود 10 ماهشه.تقریبا 2 هفته ای هست که پای راستش ورم کرده و شیارهایه روی پاش از هم باز شده.پاش درد هم میکنه و این درد همراه با خارش...لطفا بگید چیکارش کنم.خودم بیشتر از اون عذاب میکشم.با تشکر
( این سوال 11 سال قبل مطرح شد و 11 سال قبل به این سوال پاسخ داده شده است. )
( این سوال 11 سال قبل مطرح شد و 11 سال قبل به این سوال پاسخ داده شده است. )
سلام و خسته نباشید، من سوال ندارم فقط خواستم بابت زحماتی که کشیدید در درمان یکی از گربه هام که هرپس ویروس داشت و داروهایی که در اختیارم گذاشتید و خیلی بهتر شده از شما هم از طرف خودم و هم eu تشکر کنم.
( این سوال 11 سال قبل مطرح شد و 11 سال قبل به این سوال پاسخ داده شده است. )
( این سوال 11 سال قبل مطرح شد و 11 سال قبل به این سوال پاسخ داده شده است. )
سلام اقاي دكتر.ممنون از پاسختون كه در مورد گوشهاي پوسته شده و جرب زده گربم فرمودين. ولي دوروزه بدون اينكه دارويي به گربم بدم خود بخود تموم پوستاي زرد وكثيف گوشهاش كاملا ازبين رفته وپوست گوشهاش كاملا تميز و صاف و يكدست شده و ديگه ملتهب و ضخيم نيست و مثل قبل شده، فقط موهاش ريخته.موي روي صورت و بينيشم كه ريخته بود در اومده و داره پُرميشه.ولي خارشو هنوز داره.يعني به نظر شما همون بيماري قارچ يا جربه يا حساسيت به اون مواد نفتي كه روش ريخته بود؟؟اگر هم اين بيماريها باشه، بالاخره برادرش كه در تماس مستقيمه باهاش، بايد تا حالا گرفته باشه ديگه درسته؟!يه سوال ديگه:اسپري يا دارويي غيراز اونچه كه فرمودين توبازار نيست كه جلوي خارششونو بگيره ؟ميتونم انتي هيستامين (نصفي)تاچنروز بدم بهشون؟؟با توجه به اينكه هنوز دقيقا علت خارش رو نميدونم.عكس فعليشو ببيند چقد بهتر شده!!خداقوت و ممنون كه وقت ميذاريد( این سوال 11 سال قبل مطرح شد و 11 سال قبل به این سوال پاسخ داده شده است. )
سلام ، وقت بخیر. مقعد سگ ما ( تریر 1ساله، نر ) زخم شده و هر وقت که دستشویی می کنه بسیار اذیت میشه و دیگه از شدت درد فقط میخابه و منزوی شده، از چه آنتی بیوتیک و پمادی استفاده کنیم ؟مرسی
( این سوال 11 سال قبل مطرح شد و 11 سال قبل به این سوال پاسخ داده شده است. )
( این سوال 11 سال قبل مطرح شد و 11 سال قبل به این سوال پاسخ داده شده است. )
با سلام و درود بر شما
گربه ای دو ساله دارم زیاد بیرون می رود بی نهایت کثیف و سیاه رنگ شده اجازه نمی دهد حمامش کنم به چه صورت می توانم تمیزش کنم.
اشتهاش کم شده (احتمال دارد حامله باشد) راهنماییم کنید چه داروی ضد انگلی براش بگیرم؟ بسیار متشکرم
( این سوال 11 سال قبل مطرح شد و 11 سال قبل به این سوال پاسخ داده شده است. )
( این سوال 11 سال قبل مطرح شد و 11 سال قبل به این سوال پاسخ داده شده است. )
غذای های خشک و کنسرو در بازار جهت سگ کدام مناسب تر و بهتر است و چرا؟
( این سوال 11 سال قبل مطرح شد و 11 سال قبل به این سوال پاسخ داده شده است. )
( این سوال 11 سال قبل مطرح شد و 11 سال قبل به این سوال پاسخ داده شده است. )
با عرص سلام و خسته نباشید
دکتر جان من تو یه شهری هستم که دامپزشکی برای حیوانات خانگی نداره که امکانات خوب یا دکتر متخصصی وجود داشته باشه حتی گربه خودم هم از تهراان خریدم و 9 ماهشه
الان مدت سه روزه که گربم کم اشتها شده و وزن زیادی از دست داده به طوری که بدون وزن کردن کاملا مشهوده از میزان بازیگوشیش هم کم شده
درمقعدش هم یه مایعه قرمز مثل خون هست که وقتی خواستم براش تو حمام تمیزش کنم بی قراری زیادی کرد دهانش هم بوی خیلی بدی گرفته همین طور مایعی هم که از مقعدش خارج شده بوی واقعا زننده ای داره
درضمن گربم مادس
الان میخوام بدونم باید چیکارش کنم اگه لازمه تا بیارمش تهران
ا
( این سوال 11 سال قبل مطرح شد و 11 سال قبل به این سوال پاسخ داده شده است. )
( این سوال 11 سال قبل مطرح شد و 11 سال قبل به این سوال پاسخ داده شده است. )
سلام اقاي دكتر،خوب هستين.چنروز پيش درمورد جراحي گربه خيابوني كه استخون توي مريش گير كرده بود باهاتون تماس گرفته بودم.الانم سؤالي داشتم ازتون.يكي از گربه هاي خيابوني كه سرپرستي ميكنم شيش ماهشه واز دوماه پيش دچار خارش ناحيه پشت گردنو پشت گوش شد.برادرشم همينطور،ولي هيچ نشونه اي از ريزش مو يا التهاب نداشتن فقط خارش بود.يكماهي گذشت تا يه روز ديدم با صورت و گردن سياه اومد خونه،انگار كه گريس يا چيزي شبيه اين ريخته باشه روش،دقت نكردم داخل گوشهاشم سياه بود يانه.مادرش خيلي ليسش ميزد تا تونست پاكش كنه.ازروز دوم بعدازين قضيه كم كم موي أطراف پلكهاش شروع كرد به ريختن و چشمهاش تنگو ابكي شد و پوست پلكش يه كم ملتهب و كلفت شد.خودشم كم كم افسرده شد و پرخاشگر و بشدت ترسو طوري كه با فاصله دوسه متري بايد غذاشو بزارم براش.يه هفته مترونيدازول بهش دادم چشمهاش خوب شدن ولي موهاي داخل و بيرون گوشهاش ريزش پيداكرد و داخل گوشش پوسته هاي زردرنگ إيجاد شد وپوسته پوسته شديد شد و روز به روز گوشهاش قرمز و ملتهب ميشد و حتي زخم وخيلي هم ميخارونه.لبه هاي گوشهاشم ضخيم شده.موهاي روي دماغ و دور دهنو زير چونشم بصورت مُدَور نامنظم ريخته و پشت پاي راستش هم يه كم ريخته.الان هجده روزه اين بچه اينطوريه و دپرس و وحشي شده،حتي با برادرش دعوا ميكنه و خرناس ميكشه.نميذاره بگيرمش ببرم دكتر.البته اشتهاش خوبه.همش يه گوشه ميخوابه يا درحال خاروندنه.تا بحال همچين موردي نداشتم،گربه هاي كوچمونم سالمن.برادرشم فقط همون خارش هميشگي رو كه گفتم داره و اينجوري نيست.نگرانم گوشش عفونت نكرده باشه يا بيماري مسري باشه،فقط از طريق غذا ميتونم بهش قرص بدم،حتي سعي كردم توي گوشهاش پماد تتراسايكلين بزنم و قطره كلرامفنيكل تو چشمهاش بريزم ولي نذاشت.لطفا راهنمايي كنيد اگه قرصي هست بدم بهش تا بدتر نشده،يا پماد.ممنون از راهنماييتون كه هميشه مفيد بوده.( این سوال 11 سال قبل مطرح شد و 11 سال قبل به این سوال پاسخ داده شده است. )

